Ngày 8/3, Bệnh viện (BV) quận Thủ Đức (TP.HCM) cho biết, nơi đây vừa cứu sống một bé trai 8 tuổi nguy kịch vì có dị vật nằm trong phế quản.
Trước đó khoảng 11 giờ trưa ngày 7/3, BV tiếp nhận bé N.Q.H (8 tuổi, ngụ thị xã Dĩ An, tỉnh Bình Dương) trong tình's trạng ho sặc sụa, tím tái, bứt rứt khó chịu trong người... Gia đình cho biết bé đã nuốt nhầm đồ chơi xếp hình lego.

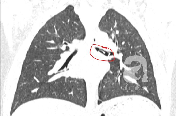
Ảnh chụp phổi cho thấy dị vật bên trong phế quản.
Bệnh nhi được chỉ định chụp CT ngay sau đó. Trên phim CT, ghi nhận ở phế quản trái có một khối dị vật hình chữ nhật, kích thước 1x2cm.
Để lấy được dị vật, bệnh nhi được chỉ định nội soi phế quản trái để gắp ra. Tuy nhiên bệnh nhi mới chỉ 8 tuổi dễ bị co thắt phế quản, quá trình nội soi có thể gây suy hô hấp cấp. Vì vậy một cuộc hội chẩn liên khoa nhanh chóng được diễn ra để tìm phương án điều trị tối ưu nhất.

Dị vật được nội soi lấy ra.
Sau hội chẩn và thống nhất ý kiến, ekip quyết định chọn phương án gây tê ngăn tổn thương dây thanh âm của bé cũng như gây tác dụng phụ không mong muốn.
Nhưng khó khăn ở chỗ bé đã ăn trước đó khoảng 1 tiếng. Ekip điều trị quyết định phải chờ đủ 8 tiếng kể từ lần ăn cuối để dạ dày trống thì khi thực hiện nội soi bệnh nhân's mới an toàn.

Mảnh đồ chơi xếp hình lego.
Để tinh thần bé được ổn định, bớt lo lắng, ekip đã quyết định đặc cách cho ba của bé vào cùng để trấn an do không sử dụng gây mê.
Ca nội soi được thực hiện khi trời đã tối. Quá trình thực hiện, do bị kích thích nên bé giãy dụa liên tục khiến ca nội soi vốn đã phức tạp lại càng khó khăn hơn. Ekip phải kèm giữ bé để cố định đồng thời phải cố gắng gắp dị vật thật nhanh và chính xác để giảm thiểu khả năng gây sang chấn tối đa.
Sau 5 phút thực hiện, dị vật được gắp ra khỏi người bé. Hiện tình's trạng sức khỏe của bé đã ổn định, có thể xuất viện trong ngày tới.

Sau khi can thiệp, sức khỏe bé trai đã ổn định.
Bác sĩ Nguyễn Kim Anh, Trưởng khoa Ngoại Lồng ngực mạch máu của bệnh viện cho biết, đây là một trong những trường hợp dị vật đường thở hay gặp ở trẻ em do thói quen cho các đồ vật nhỏ vào miệng.
Vì vậy khi chăm sóc trẻ, nếu trẻ chưa đủ ý thức để nhận biết thì phụ huynh không nên cho trẻ chơi với đồ vật nhỏ dễ nuốt.
"Trong mọi trường hợp khi phát hiện trẻ bị ho sặc do nuốt phải dị vật, phụ huynh nên đưa trẻ đến ngay cơ sở y tế gần nhất để khám, nhằm kịp thời xử trí sớm tránh's để lâu ngày có thể khiến trẻ bị viêm, suy hô hấp cấp dẫn đến tử vong", bác sĩ Kim Anh khuyến cáo.
Nguồn: afamily .vn


